Coronary Acquisition

Клиническое приложение для МР-исследований

Найти похожие продукты

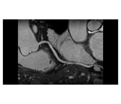
Приложение Coronary Acquisition обеспечивает неинвазивную визуализацию коронарных артерий с высоким уровнем контрастности миокарда и сосудов, позволяя использовать 3D-последовательности в сочетании с навигаторами дыхания MotionTrak для коррекции движения в режиме реального времени и подготовки T2.

  • Обратите внимание, что список оборудования доступного для приобретения в вашей стране может отличаться от указанного на сайте. Регистрационное удостоверение № ФСЗ 2011/10276 Томограф магнитно-резонансный Ingenia

You are about to visit a Philips global content page

Continue

You are about to visit a Philips global content page

Continue

Наш сайт лучше всего просматривать с помощью последних версий Microsoft Edge, Google Chrome или Firefox.