DWI TSE Клиническое приложение для МР-исследований
DWI TSE Клиническое приложение для МР-исследований
Этот продукт больше не доступен

DWI TSE

Клиническое приложение для МР-исследований

Этот продукт больше не доступен

Найти похожие продукты

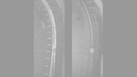
Приложение DWI TSE позволяет выполнять диффузионную визуализацию с превосходными характеристиками отношения «сигнал/шум» и резкости, а также сниженным уровнем геометрического искажения¹, особенно для сложных анатомических структур.

  • ¹ По сравнению с методом DWI EPI
  • Обратите внимание, что список оборудования доступного для приобретения в вашей стране может отличаться от указанного на сайте.Регистрационное удостоверение № ФСЗ 2011/10276 Томограф магнитно-резонансный Ingenia

You are about to visit a Philips global content page

Continue

Наш сайт лучше всего просматривать с помощью последних версий Microsoft Edge, Google Chrome или Firefox.