
Lumify с вами на каждом шагу
Обследование, диагностика и лечение пациентов за несколько минут с помощью многоточечного исследования POCUS.
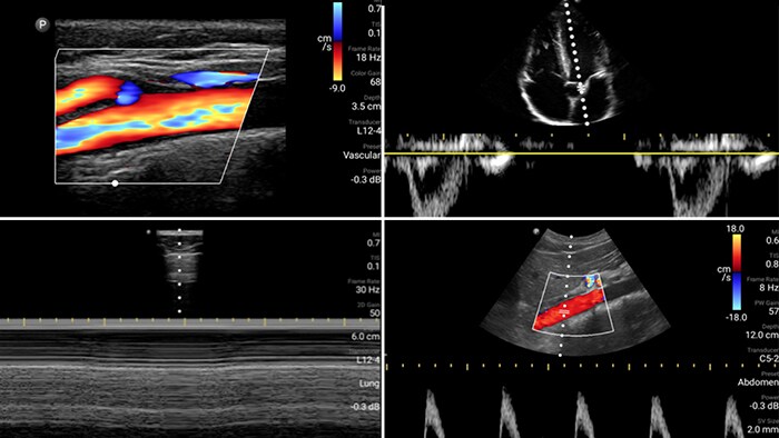
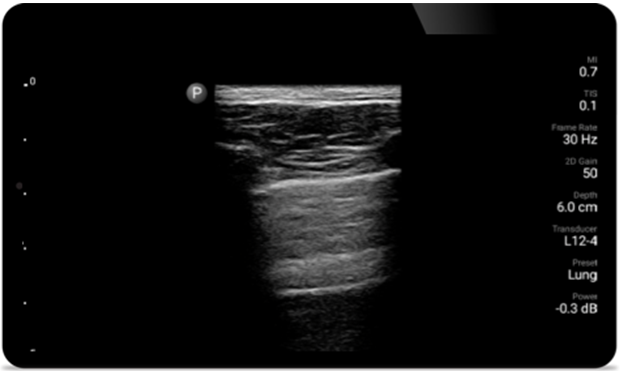
Дышите легче с Lumify
Lumify поможет быстрее оценить состояние пациентов и улучшить точность при диагностике частых причин одышки и других заболеваний легких.


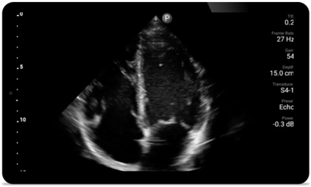
Каждая секунда на счету в кардиологии
Пациентам с сердечным приступом требуется немедленная помощь. Кардиологические предустановки Lumify помогут быстрее поставить диагноз и улучшить исходы лечения.






Получите полную картину благодаря четкому изображению всего тела для быстрого и точного реагирования в чрезвычайных ситуациях.













• Расширенный диапазон рабочих частот — от 4 до 1 МГц • 2D, цветной доплеровский режим, M-режим, продвинутая визуализация XRES и многомерная гармоническая визуализация • Визуализация с высоким разрешением для исследований брюшной полости и сердца: оптимизированные предустановки для исследований сердца, легких, брюшной полости, диагностики в акушерстве и гинекологии и режим FAST



Видео
Lumify помогает спасению жизни на догоспитальном этапе

Пример из клинической практики
Интеграция Lumify в реанимационную среду

Исследование
Целенаправленная оценка с помощью сонографии в травматологии (FAST)
You are about to visit a Philips global content page
Continue