
Начните лечение с точного диагноза
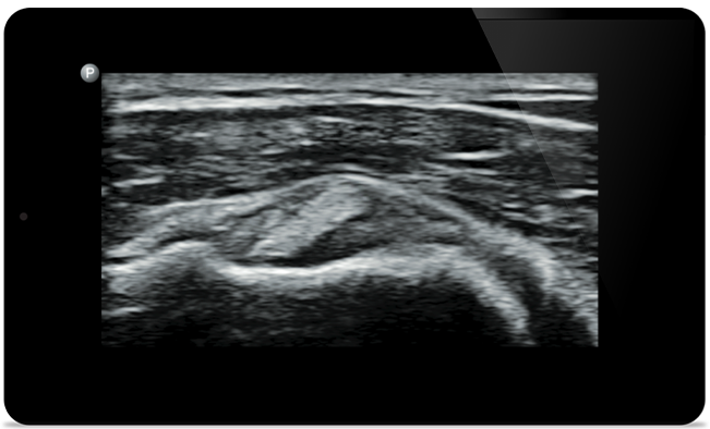
Lumify помогает визуализировать мелкие детали мышц, суставов, связок, сухожилий и хрящей, чтобы поставить более точный диагноз при травмах.

Быстрая диагностика благодаря визуализации всего организма
Lumify поможет вам обследовать пациента с головы до ног независимо от диагноза, будь то плантарный фасциит, тендинит или бурсит надколенника или даже нестабильность вращательной манжеты плеча.

Получите четкость большой ультразвуковые системы при использовании Lumify
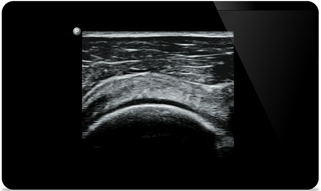
SonoCT улучшает визуализацию настоящих тканей, устраняя случайные артефакты. Эта технология позволяет получать изображения, превосходящие по качеству обычные изображения, у 94% пациентов.
















Расширенный диапазон рабочих частот — от 5 до 2 МГц. • Радиус кривизны 50 мм. - 2D, цветной доплеровский режим, М-режим, продвинутая визуализация XRES и многомерная гармоническая визуализация, SonoCT. • Визуализация с высоким разрешением для исследований глубоко расположенных структур: оптимизированные предустановки для исследований брюшной полости, желчного пузыря, легких и для диагностики в акушерстве/гинекологии.



Видео
Пункция коленного сустава
под контролем УЗИ

Пример из клинической практики
Разрыв сухожилия надостной мышцы

Краткое руководство
Пункция тазобедренного сустава под контролем УЗИ
You are about to visit a Philips global content page
Continue