
Гарантия 3–5 лет
Успешно проведены испытания на падение с высоты 1,2 м, удар и вибрацию.

Допускает обработку для инфекционного контроля
Lumify совместима с различными методами дезинфекции высокого и низкого уровня.

Соответствует требованиям HIPAA
Соблюдайте корпоративные политики безопасности шифрования данных.

Делитесь информацией
Данные доставляются по электронной почте или DICOM в PACS, общую сеть или локальную папку.

До 5 часов непрерывной работы
Расход заряда батареи отображается на экране совместимого устройства.

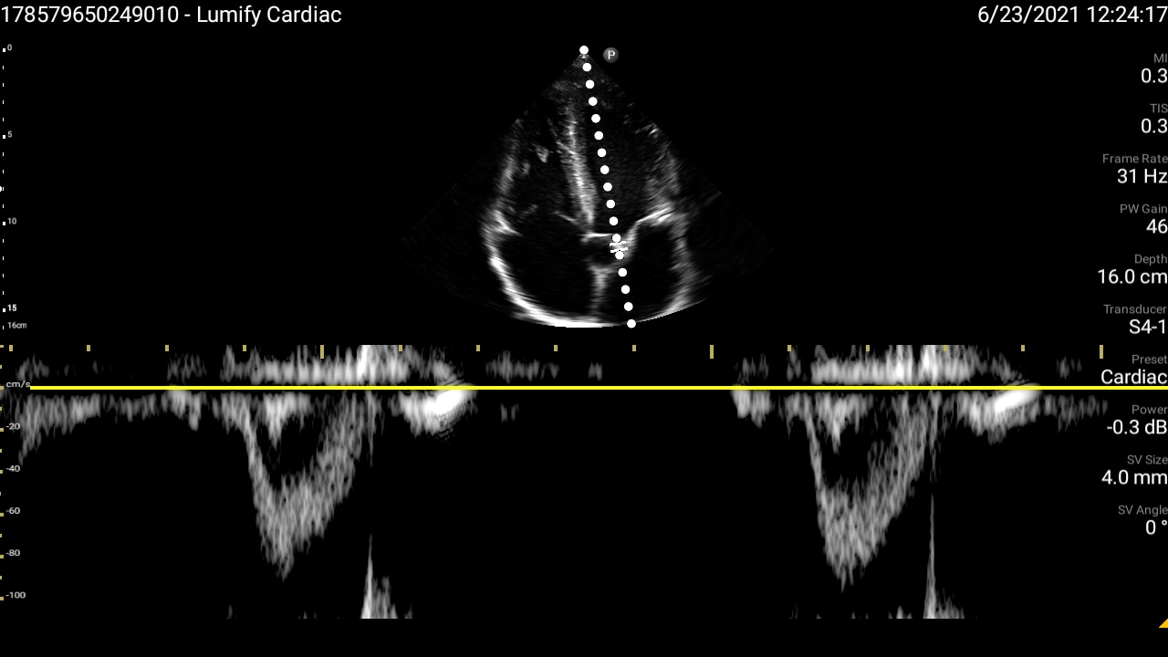
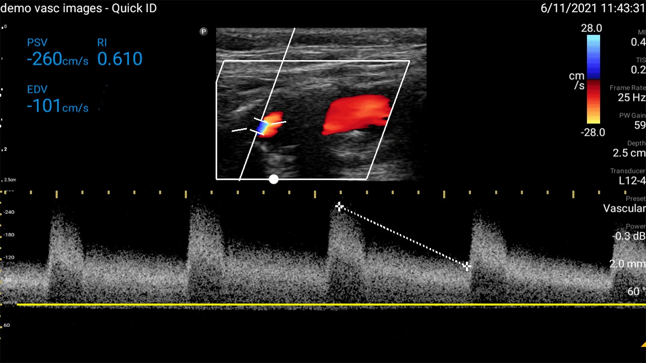
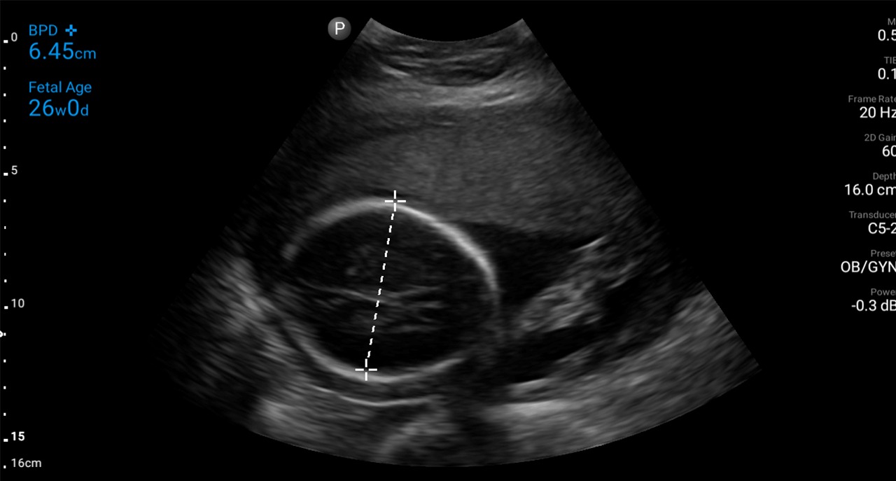
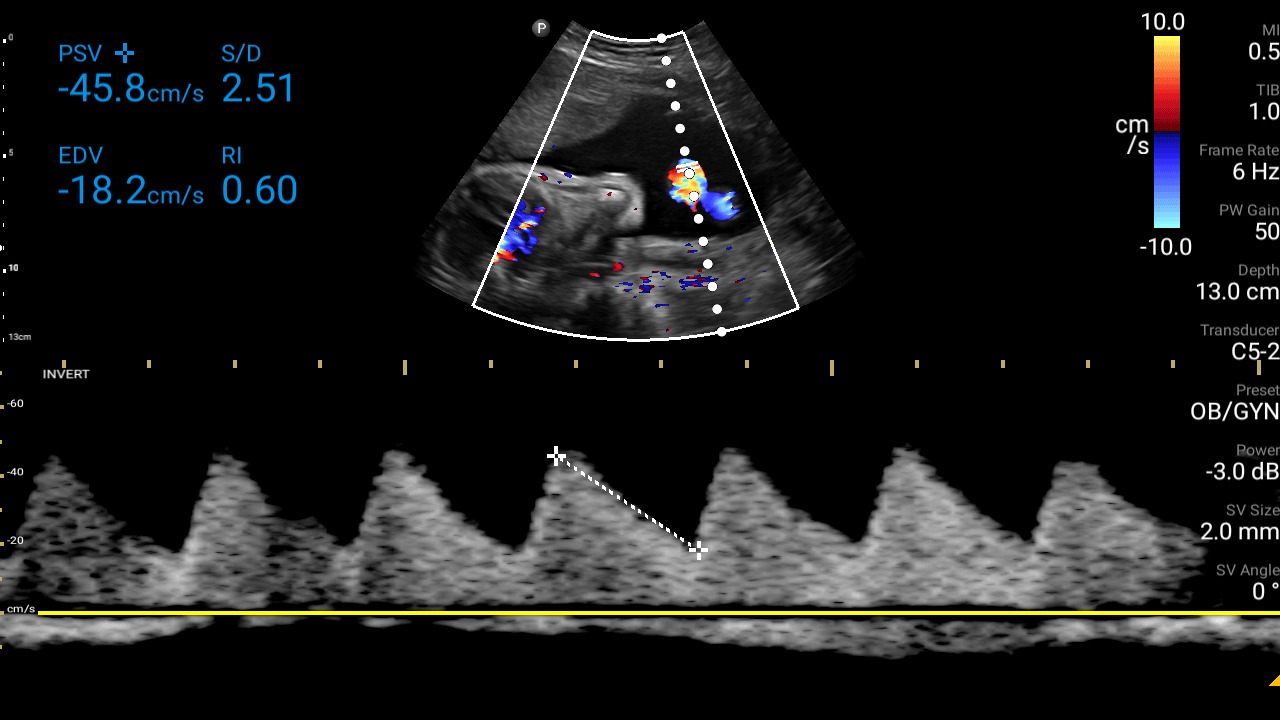
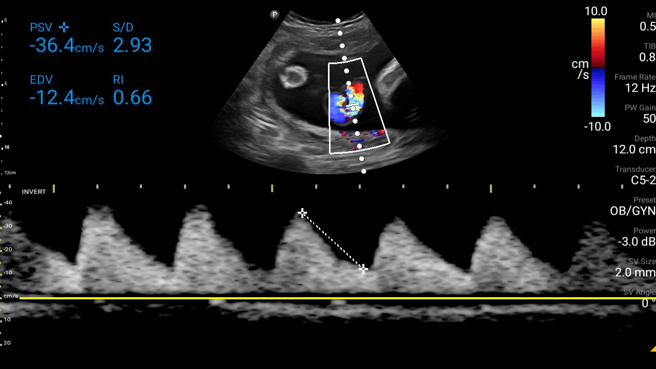
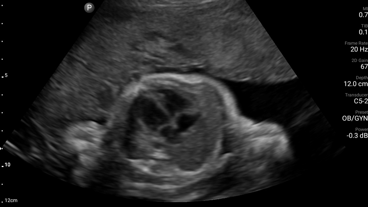
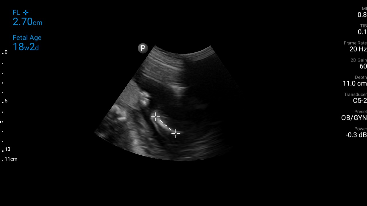
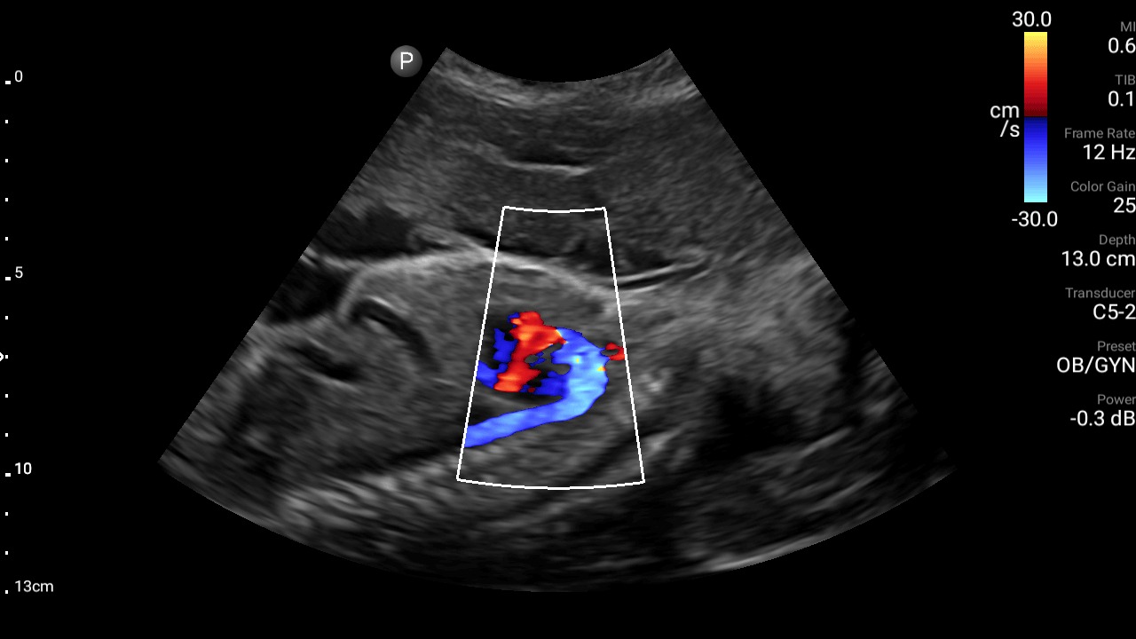
Высокое качество УЗ-изображения
Портативная ультразвуковая система Lumify обеспечивает получение изображений, которые повышают точность диагностики.

















Телеультразвуковое решение Lumify разработано, чтобы увеличить охват и доступность оказания диагностических медицинских услуг там, где наличие или использование стационарного ультразвукового оборудования не представляется возможным или целесообразным. Интеграция Lumify в ежедневное выполнение клинических задач способствует повышению качества оказания медицинской помощи, росту эффективности работы клиницистов, оптимизации и сокращению затрат, что, в конечном итоге, демонстрирует превосходство перед конкурентами. Выездные врачи различных специализаций могут оказывать дополнительные услуги на дому, у кровати пациента, в то время, как анестезиолог, ортопед, хирург, флеболог, акушер и пр., которым в рамках ежедневных стационарных задач требуются диагностические изображения высокого качества, могут проводить дополнительные исследования оперативно в своих кабинетах, не обращаясь за помощью в отделение ультразвуковой диагностики.

• Включая камеру мобильного устройства, оператор может транслировать изображение сканируемой области и положения датчика. Экосистема Philips Lumify – это не просто мобильное приложение и передовые технологии в наборе ультразвуковых датчиков. Мы предоставляем обучение медицинского персонала навыкам использования системы, круглосуточную сервисную поддержку и комфортные финансовые условия.
• Оператор может посоветоваться о корректном положении датчика, одновременно транслируя ультразвуковое изображение, получаемое при сканировании.
• Каждый из пользователей может применять указатель в ходе дискуссии для эффективного обсуждения.

Lumify незаменим в клинических ситуациях: Lumify, оснащенный платформой Reacts, «связывает» врача и удаленный «Центр экспертизы» независимо от расстояния с помощью двухсторонних аудиовизуальных вызовов и онлайн-потоком передает ультразвуковые изображения для получения консультации и «второго мнения». Теперь врачи-клиницисты могут выполнять ультразвуковое сканирование самостоятельно, ускоряя процесс диагностики и возможного лечения пациента.
С помощью Lumify сотрудники Службы неотложной медицинской помощи могут принимать обоснованные диагностические решения, не отходя от места происшествия в условиях чрезвычайной ситуации – на улице или в доме пациента.

Врач скорой медицинской помощи Д-р Гейнор Принц из клиники Западной Австралии провела 7 недель во льдах Антарктиды. Антарктида – это экстремальная среда; легче эвакуировать астронавта с неотложной медицинской помощью с Международной космической станции, чем зимой человека из Антарктиды. Врач оказывала медицинскую поддержку путешественникам, которые приехали в Антарктиду за впечатлениями. Во время экспедиции Д-р Гейнор Принц использовала Lumify во многих ситуациях, чтобы подтвердить или исключить различные медицинские проблемы:
С помощью Lumify Д-р Гейнор Принц смогла подтвердить пациенту диагноз перелома шейки бедра и выполнить под контролем ультразвука блокаду бедренного нерва, которая позволила облегчить боль на время транспортировки пациента из лагеря в самолет и последующего авиаперелета в Южную Америку.
Пациент сомневался, сохранился ли в его теле алюминиевый осколок. Используя Lumify, Д-р Гейнор Принц смогла исключить осколок еще на месте и успокоить пациента прежде, чем он отправился в экспедицию.
Используя Lumify, Д-р Гейнор Принц смогла подтвердить, что у пациента не было HAPE. У участника экспедиции была диагностирована пневмония.
С помощью физического обследования Д-р Гейнор Принц не смогла определить причину болезненной области на пятке путешественника. Воспользовавшись Lumify, врач идентифицировала костную шпору на пяточной кости, что позволило ей дать конкретные советы для дальнейшего пребывания в экспедиции.

Статья «С мобильной ультразвуковой системой Lumify врачи могут принимать клинические решения на 80 минут быстрее»

Статья «Соло для врача в стиле Hi-Tech»

Научная статья «Ультразвуковое исследование легких в условиях реанимационного отделения перинатального центра»
Статьи и интервью в СМИ

Статья «С мобильной ультразвуковой системой Lumify врачи могут принимать клинические решения на 80 минут быстрее»

Статья «Соло для врачав стиле Hi-Tech»

Научная статья «Ультразвуковое исследование легких в условиях реанимационного отделения перинатального центра»
[1] Регистрационное удостоверение №РЗН 2018/7814 Система ультразвуковая портативная Lumify с принадлежностями. [2] Продукт не доступен для приобретения в Беларуси.
You are about to visit a Philips global content page
Continue