Классическим методом визуализации злокачественных новообразований является Позитронно-Эмиссионная Томография (ПЭТ). Несмотря на то, что ПЭТ позволяет с высокой точностью и разрешением обнаружить метастазы, этот метод сопряжен с лучевой нагрузкой и другими рисками, связанными с введением радиофармпрепарата (РФП). Поэтому в настоящее время активно ведется разработка новых МРТ методик, позволяющих получать ПЭТ-подобные изображения для своевременной и безопасной диагностики онкологических заболеваний. Одной из таких методик является МРТ последовательность DWIBS (Diffusion weighted imaging with background suppression). Эта методика основана на совмещение обычной диффузионно взвешенной МРТ с дополнительным коротким временем инверсии (аналогично STIR изображениям), что позволяет эффективно избавляться от фоновых сигналов от структур, не ограничивающих диффузию воды. Таким образом, изображения DWIBS похожи функционально и визуально на ПЭТ, что в совокупности с быстрым временем сканирования без задержки дыхания дает возможность использовать DWIBS для эффективного и безопасного онкоскрининга всего тела.
Специалисты медицинского радиологического научного центра им. А.Ф. Цыба считают данную методику особенно перспективной в оценке метастазов в кости [1].
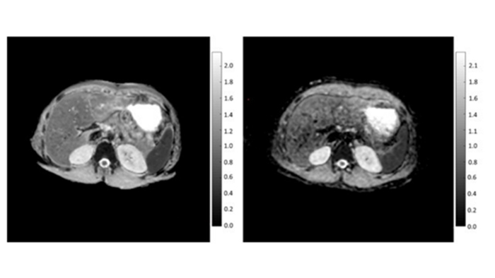
Метастатическое поражение скелета встречается на фоне рака молочной железы и предстательной железы в 70–80% случаев аутопсий Более чем у половины онкопациентов отдалённое метастазирование начинается с поражения костей [2]. МРТ зарекомендовала себя эффективным методом В выявлении метастатического поражения скелета МРТ демонстрирует более высокие показатели чувствительности и специфичности (90,5 и 95% соответственно), чем сцинтиграфия (72,9 и 93,9%), и, по крайней мере, сопоставимыми ― с совмещённой ПЭТ-КТ с холином (89,7 и 96%) [3]. При этом, несомненно, помимо постановки первичного диагноза, интерес врачей рентгенологов заключается и в оценке ответа тех или иных злокачественных очагов на проводимое лечение, а также наблюдение их в динамике. Для этого одним из наилучших вариантов является количественная оценка ограничения диффузии (параметр ИКД, ADC). До этого времени достоверных данных о том, как соотносятся значения ADC, измеренные при помощи обычной DWI и DWIBS не было, что не давало уверенности в использовании DWIBS для их расчета. Поэтому, совместно с Philips Clinical Science врачи центра им. А.Ф. Цыба провели исследование [4] и доказали, что значения ADC, измеряемые с помощью DWI и DWIBS не отличаются (исследования проводилось как на пациентах, так и на МР совместимых фантомах). Таким образом, обновленный протокол DWIBS c возможностью расчета значений ADC может успешно использоваться в клинической практике.
Изображение предоставлено сотрудниками медицинского радиологического научного центра им. А.Ф. Цыба


Рис. 1. Примеры ИКД(DWI) карт, полученных из DWI (слева) и DWIBS (справа) изображений. Значения измеряются ИКД в мм2/с. Изображение предоставлено сотрудниками медицинского радиологического научного центра им. А.Ф. Цыба.
Подробнее ознакомится с этим исследованием Вы можете по ссылке: О ВОЗМОЖНОСТЯХ ПРИМЕНЕНИЯ ДИФФУЗИОННО ВЗВЕШЕННЫХ ИЗОБРАЖЕНИЙ С ПОДАВЛЕНИЕМ СИГНАЛА ТЕЛА (DWIBS) ДЛЯ РЕШЕНИЯ ЗАДАЧ С ОПРЕДЕЛЕНИЕМ ИЗМЕРЯЕМОГО КОЭФФИЦИЕНТА ДИФФУЗИИ В.О. Рипп, П.Е. Меньщиков , Д.А. Куприянов , П.А. Буланов и др. 2022, № 2 “МЕДИЦИНСКАЯ ФИЗИКА”, DOI: 10.52775/1810-200X-2022-94-2-76-84
Список литературы: [1] V.O. Ripp, T.P. Berezovskaya, S.A. Ivanov, Objective criteria for MRI evaluation of the effectiveness of treatment of bone metastases in patients with prostate cancer and breast cancer: systematic review and meta-analysis, Digit. Diagnostics. 2 (2021) 289–300. https://doi.org/10.17816/DD77311. [3] A.R. Padhani, F.E. Lecouvet, N. Tunariu, D.M. Koh, F. De Keyzer, D.J. Collins, E. Sala, H.P. Schlemmer, G. Petralia, H.A. Vargas, S. Fanti, H.B. Tombal, J. de Bono, METastasis Reporting and Data System for Prostate Cancer: Practical Guidelines for Acquisition, Interpretation, and Reporting of Whole-body Magnetic Resonance Imaging-based Evaluations of Multiorgan Involvement in Advanced Prostate Cancer, Eur. Urol. 71 (2017) 81–92. https://doi.org/10.1016/J.EURURO.2016.05.033. [4] V.O. Ripp, P.E. Menshchikov, D.A. Kupriyanov, P.A. Bulanov, K.A. Sergunova, D.S. Semenov, T.P. Berezovskaya, S.A. Ivanov, A.D. Kaprin, Possibilities of Using DWIBS for Clinical Tasks with the Measurement of the Apparent Diffusion Coefficient, Meditsinskaya Fiz. 94 (2022) 76–84. https://doi.org/10.52775/1810-200X-2022-94-2-76-84.
[2] F.E. Lecouvet, A. Larbi, V. Pasoglou, P. Omoumi, B. Tombal, N. Michoux, J. Malghem, R. Lhommel, B.C. Vande Berg, MRI for response assessment in metastatic bone disease, Eur. Radiol. 23 (2013) 1986–1997. https://doi.org/10.1007/S00330-013-2792-3.
You are about to visit a Philips global content page
Continue