Горина Татьяна Петровна - руководитель отделения лучевой диагностики. МР cистема – Panorama 1T, R2.6.

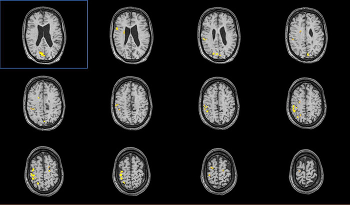
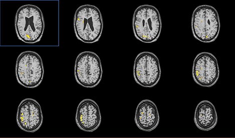
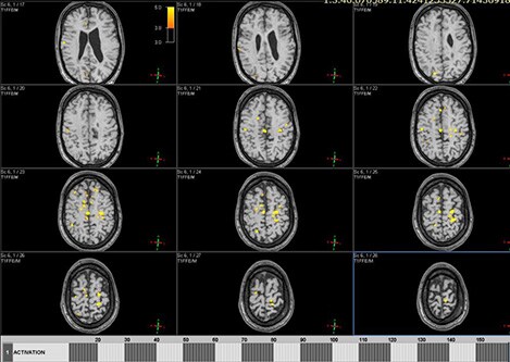
Цель: Апробация и внедрение в клиническую практику современных методик фМРТ и DTI для оценки структурных и функциональных изменений при нарушениях движения у детей. Описание проекта: Для Детского Церебрального Паралича характерно наличие незначительных структурных повреждений [1], при этом неясна их связь с нарушениями двигательных функций. фМРТ позволяет выявить зоны активации мозга при выполнении движений и оценить сложность выполнения задания по объему зон активации (Рис 1). МР-трактография позволяет исследовать структуру и диффузионные характеристики проводящих путей мозга (Рис 2). МР-волюметрия также позволяет оценить объем основных структур мозга и выявить аномалии развития, кортикальные дисплазии и патологии белого вещества мозга (Рис 3.). Результаты: Проведена клиническая апробация предложенных методик. Результаты представлены на медицинских неврологических конгрессах.

Рис 2.А.– автоматическая сегментация и рассчет объемов структур мозга по данным МРТ позволяет локализовать и оценить повреждения белого и серого вещества мозга.
Рис 2.B. – МР – трактография: выраженная ассимитрия кортико-спинальных трактов.
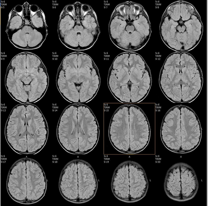
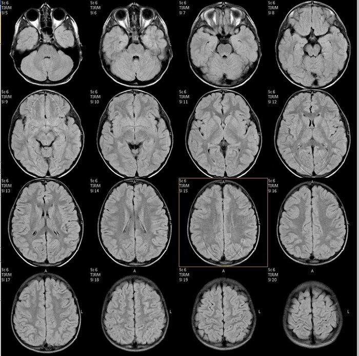
Рис. 3. МРТ данные пациента с ДЦП: на FLAIR изображениях структурные изменения минимальны.
Ссылки: [1] - "Cerebral Palsy: Hope Through Research". National Institute of Neurological Disorders and Stroke. February 2, 2015. Retrieved 4 March 2015.
You are about to visit a Philips global content page
Continue
Последние новости и события