По мере развития технологий в сфере интервенционной онкологии мы сосредоточены на поиске новых способов полного удаления гиперваскулярной опухоли в печени и во всех ее питающих сосудах, не затрагивая здоровые ткани или органы. Наше решение OncoSuite* нового поколения со значительно расширенной версией XperCT Dual предлагает первую в мире специализированную интервенционную визуализацию для BTG LUMIᵀᴹ, ¹гранул (www.LCBeadLUMI.com), используемых при проведении эндоваскулярных онкологических процедур на печени. Новая функция открытой траектории в рамках XperCT Dual позволяет выполнять визуализацию смещенных исследуемых областей, например периферического участка печени, за один проход². К другим особенностям XperCT Dual относятся, например, функции DualPhase и DualView. Функция DualPhase позволяет выполнять одноступенчатую автоматическую реконструкцию артериальной и отсроченной фазы введения контрастного вещества. А функция DualView позволяет выполнять одновременную визуализацию двух наборов данных КТ-подобной визуализации (до и после). С помощью нашей функции визуального контроля в реальном времени мы стремимся облегчить доступ к более безопасным, эффективным и воспроизводимым методам лечения, обеспечивая соответствующую клиническую значимость там, где это больше всего необходимо — на этапе лечения пациентов.

Открытая траектория Улучшает визуализацию смещенных исследуемых областей, например периферического участка печени.

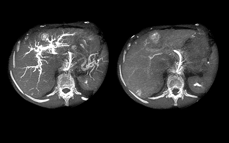
Решение DualPhase Imaging Решение для визуализации DualPhase Imaging обеспечивает визуализацию сосудистых структур, присутствующих в исследуемой области в артериальной фазе, и накопления контрастного вещества в отсроченной фазе.

Первая оптимизированная технология визуализации для рентгеноконтрастных гранул Позволяет контролировать облучение целевой области и полностью охватить опухоль.

EmboGuide обнаруживает на 50% больше кровеносных сосудов, питающих опухоль из печеночной артерии, чем в рамках стандартной DSA³; использование данного решения может значительно снизить нагрузку на врачей. Мы считаем, что это очень полезное программное обеспечение.
Д-р С. Мияяма (S. Miyayama)
больница Fukui-ken Saiseikai Hospital, Япония

С развитием двухфазной КТ-подобной визуализации действительно больше нет необходимости в комбинированном применении систем ангиографии и КТ либо ангиографии и МРТ.
Д-р Дж. Гешвинд (J. Geschwind), профессор и председатель отделения радиологии и биомедицинской визуализации
Yale School of Medicine, США
Примечания 2. Miyayama, S et al. J Vasc Interv Radiol. 2013; 24(4):501-8 3. Choo, JY et al. European Radiology. 2013; 23(3):712-9 4. Heusner TA et al. ROFO. 2010; 182:603–608 5. van den Hoven AF et al. Cardiovascular and interventional radiology. 216; 39(1): 64-73 6. Loffroy R et al. Radiology. 2013 Feb; 266(2):636-48 7. Miyayama S et al. Cardiovasc Intervent Radiol. 2014 Apr; 37(2):388-95 8. Suk Oh J et al. J Vasc Interv Radiol. 2013 Apr; 24(4):483-9 9. Pellerin, O et al. Cancer Biother Radiopharm. 2013 Jul; 28(6):459-65 10. Schernthaner RE et al. Radiology. 2015; 277(3):833–41 11. Levy EB et al. Cardiovasc Intervent Radiol. 2016; 39(8):1177-86 12. Higashihara et al. Eur Radiol. 2012 Apr; 22(4):872-9
1. Loffroy R et al. Cardiovasc Intervent Radiol. 2012; 38(2):929-31
You are about to visit a Philips global content page
Continue