
С детства мы слышим, что нервные клетки не восстанавливаются. И хотя вопрос о возможности образования новых нейронов во взрослом мозге до сих пор открыт, уже есть данные, что процесс нейрогенеза у человека продолжается до глубокой старости. Любые нарушения в развитии нервных клеток могут приводить к серьезным, иногда необратимым патологиям. Одним из таких нарушений являются дефекты в защитной изоляционной оболочке (миелине) отростков нервных клеток, которые начинают формироваться у человека еще до его рождения. Такие внутриутробные нарушения миелинизации практически невозможно диагностировать с помощью традиционных методов визуализации".
Александра Михайловна Коростышевская
Доктор медицинских наук, ведущий научный сотрудник лаборатории МРТ-технологий, заведующая диагностическим отделением института «Международный томографический центр» Сибирского отделения РАН. Автор и соавтор более 70 научных работ.
Мозг человека сформирован особыми клетками – нейронами. Эти особенные клетки способны передавать, хранить и обрабатывать информацию. Между собой нейроны соединены в сеть посредством контактов (синапсов) между их длинными (аксоны) и короткими (дендриты) отростками. Каждый аксон покрыт изолирующей миелиновой оболочкой, которая имеет периодические перетяжки (перехваты Ранвье). Благодаря этому, электрический импульс движется не вдоль всего аксона, а “перепрыгивает” с одной перетяжки на другую, что значительно ускоряет передачу нервных импульсов.
При различных патологиях миелиновая оболочка может разрушаться, что будет приводить к серьезным последствиям.
Например, одной из таких патологий является рассеянный склероз – аутоиммунное заболевание, поражающее миелиновые оболочки нервов и возникающее преимущественно в молодом возрасте. Другой частой причиной демиелинизации является инсульт, причем он может быть не только во взрослом возрасте, а также у детей, и даже у плода. Инсульт у плода может привести к развитию порока мозга и церебральному параличу при рождении. К сожалению, на данный момент нарушение формирования миелиновых оболочек диагностируются лишь на поздней стадии при проявлении серьезных клинических симптомов. Единственным методом, позволяющим неинвазивно оценивать уровень миелина в мозге человека является МРТ. Однако в мозге плода уровень миелина так мал, что оценка его небольших изменений представляется очень сложной задачей. В работе [1] коллективу авторов (Александра Коростышевская, Андрей Савелов, Ирина Приходько, Яна Исаева, Василий Ярных) из ФГБУН Института «Международный томографический центр» Сибирского отделения РАН удалось приблизиться к решению этой задачи.
Для оценки количества миелина в мозге плода ученые использовали метод макромолекулярной протонной фракции (МПФ). Этот метод основан на эффекте переноса намагниченности (Подробнее читайте в нашей статье: Amide proton transfer - APT в МРТ | Philips Здравоохранение ). В данном случае целью является визуализация протонов, перешедших от малоподвижных молекул миелина к молекулам свободной воды в результате химического обмена. Таким образом, сигнал на окончательно сформированных МПФ-картах пропорционален количеству миелина.
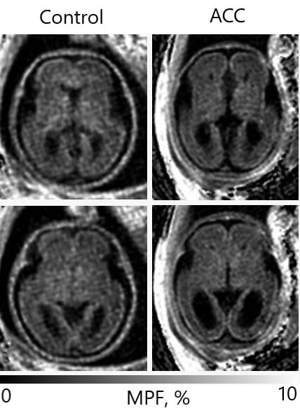
Данная методика уже апробирована авторами на плодах гестационного возраста более 20 недель. Эти исследования показали, что методика МПФ действительно позволяет в короткие сроки (менее 5 минут) оценить очень малые количества миелина. Также исследователям удалось проследить этапы развития и распределения миелина в мозге плода (рис.1).

распределения миелина у плода в норме (Control) и с агенезией мозолистого
тела (ACC). (Изображение предоставлено МТЦ СО РАН).
Полученные результаты хорошо соответствуют классическим патофизиологическим исследованиям внутриутробной миелинизации. При этом авторы обнаружили, что метод МПФ является эффективным для диагностики у плода медуллобластомы – врожденной злокачественной опухоли мозжечка.
Таким образом, благодаря новейшим методам МРТ диагностики, ученым удалось определить количественные критерии нормального внутриутробного развития миелиновых оболочек. Данные критерии, вероятно, найдут дальнейшее клиническое применение и позволят своевременно диагностировать нарушения миелинизации головного мозга на самых ранних этапах.
[1] A.M. Korostyshevskaya, I.Y. Prihod’ko, A.A. Savelov, V.L. Yarnykh, Direct comparison between apparent diffusion coefficient and macromolecular proton fraction as quantitative biomarkers of the human fetal brain maturation, J. Magn. Reson. Imaging. 50 (2019) 52–61. https://doi.org/10.1002/JMRI.26635.
You are about to visit a Philips global content page
Continue