
Руководитель проекта – проф. д.м.н. Вишнякова Мария Валентиновна. Руководитель диагностического отдела, заведующая кафедрой лучевой диагностики. Период проведения: 2017 – по настоящее время.
Контакты Philips "Здравоохранение"
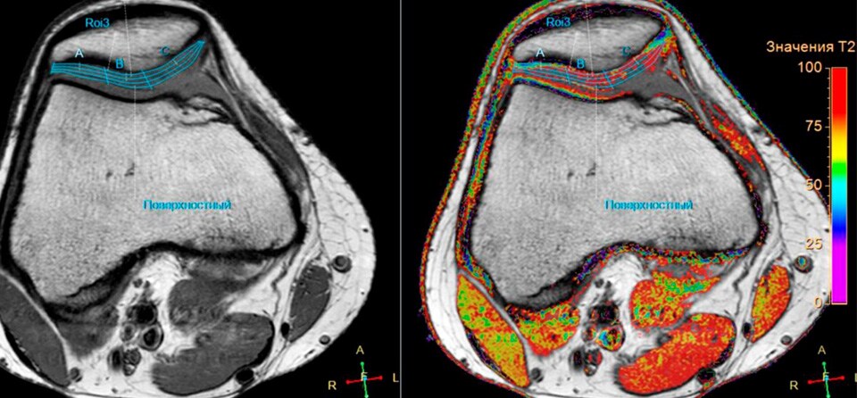
Цель Изучить релаксационные показатели Т2, Т1rho-картирования хрящевой ткани суставной поверхности коленного сустава, как количественный критерий выраженности патологий различного характера. Описание проекта Дегенеративные изменения суставов в зависимости от возраста, величины физической нагрузки, в том числе массы пациента, а также сопутствующих заболеваний приводят к изменениям биохимических процессов в хрящевой ткани. Стандартный МРТ протокол позволяет создать достаточный контраст для выявления морфологических изменений в гиалиновом хряще суставной поверхности. На данный момент самым распространенным методом оценки тяжести острых и хронических повреждений суставного хряща из-за своей простоты получили системы классификации, предложенные Outerbridge (1961), Jackson (1988) и Yulish B.S. et al. (1987). Такой подход крайне эффективен в оценке степени хондромоляции, однако не отражает нарушения биохимических изменений в выявленных очагах и зонах поражения гиалинового хряща. Значения релаксационных параметров Т2, Т1rho, получаемых методиками количественной МРТ (qMRI), связаны с физическими свойствами, а также с водным и коллагеновым составом внеклеточного матрикса хряща коленного сустава. Исследование изменения этих параметров при различных заболеваниях, травмах и иных факторах позволит построить точные биофизические модели повреждения хряща, а также потенциально разработать количественные методы определения стадии хондромоляции. Задачи Создание и оптимизация быстрых протоколов сканирования, а также процесса обработки таких изображений для получения Т2 и T1rho карт хрящевой ткани коленного сустава. Получение релаксационных показателей хрящевой ткани суставных поверхностей на примере коленного сустава, в зависимости от степени хондромаляции в разных группах пациентов.

Результаты Разработаны оптимальные протоколы сканирования для получения карт Т2 и Т1rho гиалиновой хрящевой ткани коленного сустава. Проведены измерения значений Т2 хрящевой ткани суставной поверхности коленного сустава у пациентов с рассекающим остеохондритом, а также влияние индекса массы тела на параметры Т2. Результаты представлены на конгрессах: РОРР 2019, Радиология 2018, Радиология 2017

Процесс получения T1rho карт.
You are about to visit a Philips global content page
Continue