Интеллектуальное определение анатомических структур
Интеллектуальное определение анатомических структур

Интеллектуальное определение анатомических структур

Углубленный количественный анализ и надежная воспроизводимость ваших УЗИ

Что такое интеллектуальное определение анатомических структур?

 

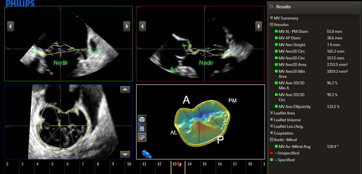
Функция интеллектуального определения анатомических структур изучает данные УЗИ пациента и применяет адаптивную интеллектуальную логику системы с использованием трехмерных анатомических моделей для создания более простых и воспроизводимых результатов. Инструменты интеллектуального определения анатомических структур, например HeartModel, используют усовершенствованное моделирование органов, формирование срезов изображений и надежный количественный анализ, помогая упростить проведение УЗИ, обеспечивая более высокую воспроизводимость, предоставляя при этом клиническую информацию нового уровня для решения экономических и клинических задач, возникающих в условиях современного медицинского учреждения.

 

Инструменты интеллектуального определения анатомических структур превращают изображения в ответы

Где найти технологию интеллектуального определения анатомических структур?

 

Интеллектуальное определение анатомических структур применяется в таких решениях компании Philips для визуализации, как EPIQ, Affiniti и EchoNavigator. Оно предоставляет врачам современные и одновременно простые в применении инструменты обработки и помогает им быстро и более уверенно определять анатомические структуры и патологии, оценивать состояние заболевания, назначать лечение и контролировать проведение процедур.

epiq7 ultrasound machine

Ультразвуковая система EPIQ 7

Система EPIQ 7 обеспечивает непревзойденный уровень клинической эффективности, что позволяет решать наиболее сложные задачи в области кардиологии, возникающие в настоящее время.

 

Подробнее

affiniti70 image

Ультразвуковая система Affiniti 70

Ультразвуковая система Affiniti 70 обеспечивает мощное сочетание производительности и рабочего процесса для быстрой и надежной постановки диагноза.

 

Подробнее

echonavigation image

EchoNavigator: объединение рентгенографии и эхографии в режиме реального времени

Более глубокое понимание и уверенность при поиске и устранении проблем с помощью SmartFusion. EchoNavigator автоматически объединяет трехмерную чреспищеводную эхокардиографию и рентгенографию в режиме реального времени, чтобы вы могли интуитивно направлять свое устройство в трехмерном пространстве с более высокой скоростью.

 

Подробнее

*

Если вы заинтересованы в приобретении медицинского оборудования, пожалуйста, заполните форму ниже

* Обязательное поле

*
*
*
*
*
*
*
*
*

Пожалуйста, укажите информацию, которая Вам необходима.

We work with partners and distributors who may contact you about this Philips product on our behalf.

*
*

Final CEE consent

You are about to visit a Philips global content page

Continue

You are about to visit a Philips global content page

Continue

Наш сайт лучше всего просматривать с помощью последних версий Microsoft Edge, Google Chrome или Firefox.