В медицинских учреждениях многое поставлено на карту, как с клинической, так и с экономической точки зрения. Рационализируйте клиническую практику с помощью инновационных предложений в области эхокардиографии. Используйте их возможности, чтобы сделать ваш труд более интеллектуальным до, во время и после процедуры.
Раскройте весь потенциал вашей программы эхокардиографии. Проконсультируйтесь с торговым представителем Philips Healthcare уже сегодня.

Новейшие разработки в области ИИ и передовой автоматизации в сочетании с интеллектуальным управлением информацией упрощают оценку сердечной деятельности методом эхокардиографии. Три ведущих врача объясняют, каким образом это происходит.
Текущая частота встречаемости сердечной недостаточности оценивается в 64,3 миллиона случаев по всему миру, экономическое бремя составляет 346,16 миллиарда долларов.1 Очевидно, что нужны новые ответы.
1 Lippe G, Sanchis-Gomar F. Global epidemiology and future trends of heart failure. AME Med J. 2020;5:15.
Узнайте, как интеллектуальные технологии Philips дают специалистам возможность работать более рационально на протяжении всего процесса эхокардиографии — с момента размещения врачом заявки на обследование до момента завершения исследования, выставления счета и выдачи направления.
Единая точка доступа к изображениям и информации в любое время и из любого места. Выполняйте всесторонний анализ, количественную оценку и создавайте отчеты для быстрого принятия обоснованных решений.
Сокращайте затраты на установку и экономьте время, подключая новые решения к существующим системам посредством нашей технологии, исключающей необходимость установки ПО, а также возможности межплатформенного доступа.
Сегодня, как никогда ранее, новые условия ставят перед отделениями эхокардиографии задачу повышения качества обслуживания, приема большего числа пациентов и рационализации этих процессов.
Сделайте ваш рабочий процесс более интеллектуальным — сотрудничайте с Philips.
Мы поможем вам, упрощая процесс достижения качественных результатов с помощью передовых средств визуализации и количественного анализа, автоматизируя повторяющиеся задачи с помощью ИИ и предоставляя полезную информацию в любом месте и в любой момент, когда она необходима.
Узнайте больше о том, как наши клинически интеллектуальные диагностические решения помогают оптимизировать рабочие процессы и предоставляют практические идеи, повышающие клиническую уверенность и эффективность — без компромиссов.

Система EPIQ CVx — это специализированное решение для ультразвуковых исследований сердца и сосудов, которое обеспечивает существенное усовершенствование функциональных возможностей. Таким образом повышается качество оказываемой медицинской помощи благодаря увеличению вычислительной мощности, исключительному качеству визуализации с более высокой четкостью и резкостью, повышению эффективности исследований, дополненному проверенными и надежными функциями количественного анализа TOMTEC.

Ультразвуковая система Philips Affiniti CVx — это специализированное решение для исследований сердца и сосудов, разработанное для удовлетворения повседневных потребностей кардиологического отделения, чтобы вы могли обеспечить лучшее лечение большему количеству пациентов.
Решение IntelliSpace Cardiovascular предназначено для оптимизации рабочего процесса и повышения эффективности работы в процессе оказания медицинской помощи пациентам с сердечно-сосудистыми заболеваниями.

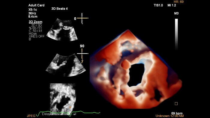
Функциональный дизайн. Датчик X5-1c с многоплоскостной реконструкцией и системой трехмерной фотореалистичной визуализации Cardiac TrueVue

Исключите рутину из своего рабочего дня. Используйте функцию Cardiac Auto Measure, наш проверенный алгоритм на основе ИИ, чтобы получать согласованные результаты измерений в два раза быстрее по сравнению с ручными методами.

Вы не найдете аналогов. Уникальный, быстрый и удобный анализ AutoStrain использует усовершенствованную технологию визуализации для получения достоверных и воспроизводимых результатов измерений окрашенных структур.
Оставайтесь в курсе происходящего в мире кардиологической диагностики благодаря сотрудничеству с компанией Philips. Вы найдете множество полезных ресурсов, которые помогут вам оставаться в курсе событий.

Д-р Роберто Лэнг (Dr. Roberto Lang), University of Chicago, г. Чикаго, шт. Иллинойс, США
Кардиологические осложнения COVID-19
Автоматизированные инструменты контрастных исследований упрощают оценку функции правого желудочка, корректируя ход лечения пациентов с COVID-19.

Д-р Тереза Лопез Фернандез (Teresa Lopez-Fernandez), La Paz University Hospital, г. Мадрид, Испания
Использование передовых инструментов для ультразвукового исследования при сердечной недостаточности на фоне лечения рака (CTRCD)
Затратные по времени методы уходят в прошлое благодаря применению инструмента Philips Anatomically Intelligent Ultrasound (AIUS) для предотвращения негативного влияния противоопухолевой терапии на сердце.

Д-р Пей-Ни Джон (Dr. Pei-Ni Jone). Детская больница Колорадо, г. Орора, шт. Колорадо
Расширяя доступ к экспертным знаниям в эхокардиографии
Collaboration Live позволяет врачам рассматривать изображения и давать рекомендации в реальном времени, находясь далеко друг от друга.

Институт Miami Cardiac & Vascular Institute, Baptist Health South Florida, г. Майами, шт. Флорида
Партнерство в инновациях, подкрепленных данными
Прозрачность данных для всех и среда, в которой можно делиться друг с другом полученными результатами, помогают в построении сильной команды.

Профессор Алекс Ли (Alex Lee), Prince of Wales Hospital, г. Гонконг, Китай
Фотореалистичная визуализация в 3D-эхокардиографии
Виртуальный источник света подсвечивает структуры и увеличивает глубину восприятия для улучшенной интерпретации изображений при заболеваниях сердца.
Узнайте больше о том, как мы можем помочь вам повысить качество и эффективность ведения пациентов кардиологического отделения на всех этапах их лечения.
You are about to visit a Philips global content page
Continue