Функция Precise Position
Камера с поддержкой ИИ позволяет сократить время позиционирования на 23% и повысить согласованность результатов, получаемых различными пользователями, на 70%2

Решения на базе искусственного интеллекта в помощь медицинским специалистам, применяемые на всех этапах исследования – от автоматического позиционирования пациента до реконструкции полученных данных с использованием нейросети глубокого обучения.

Повышение точности укладки до 70% и сокращение времени позиционирования до 23% 1
Специальная камера на потолочном подвесе распознаёт положение пациента по 13 анатомическим точкам, а также осуществляет вертикальное центрирование (определение глубины и выравнивание с изоцентром).

Сокращение времени проведения биопсии под контролем КТ на 16%2 Автоматический анализ траектории движения иглы, построение маршрута от точки входа до цели, расчёт глубины, угла, расстояния до цели и другие инструменты сокращают время проведения инвазивного исследования и повышают его точность.

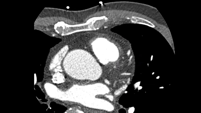
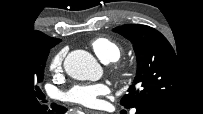
Шестикратное улучшение временного разрешения3 Коррекция контуров коронарных артерий с применением искусственного интеллекта позволяет отследить и учесть движение коронарных артерий, представив максимально четкий результат без артефактов от движения.


Повышение согласованности результатов на 70% 2
Значительное повышение согласованности позиционирования от пользователя к пользователю

Сокращение времени позиционирования на 23%2 Автоматическое позиционирование пациента оптимизирует процесс работы с пациентами, помогая управлять дозой облучения и снижать шум изображения

Решение проблем визуализации сердца
Визуализация сердца без артефактов движения улучшает качество изображения при высокой частоте сердечных сокращений

Автоматическое определение диапазона сканирования по обзорному изображению Распознавание 11 областей позволяет автоматически корректировать диапазон сканирования с учетом анатомических особенностей пациента

Автоматическая сегментация и разметка позвонков и межпозвоночных дисков Маркировка позвонков и автоматическое создание серии аксиальных изображений позвоночника обеспечивают ускорение рабочего процесса, что особенно важно при травматологических исследованиях

Автоматическое создание изображений головного мозга, параллельных орбитомеатальной линии Выравнивание изображений при неверной укладке в подголовник без необходимости дополнительной постобработки


Повышенная точность диагностики Одновременно уменьшает дозу облучения и улучшает качество изображения для достижения поставленных клинических целей

Сокращение времени анализа результатов Усовершенствованная реконструкция позволяет сократить время анализа результатов и повышает точность диагностики

Более быстрое выполнение интервенционных процедур Быстрое и точное планирование траектории, проведение и отслеживание иглы
CT Smart Workflow в помощь медицинским специалистам от подготовки до постобработки, от рутинных до специализированных исследований

Камера с поддержкой ИИ позволяет сократить время позиционирования на 23% и повысить согласованность результатов, получаемых различными пользователями, на 70%2

You are about to visit a Philips global content page
ContinueИИ обеспечивает преимущества, которые позволяют получать изображения с низкой дозой облучения и более высокой диагностической достоверностью

You are about to visit a Philips global content page
ContinueРеконструкция изображений на основе ИИ означает, что реконструкция всех контрольных протоколов может занимать < 1 минуты

You are about to visit a Philips global content page
ContinueАвтоматическое отслеживание иглы для сокращения времени выполнения интервенционных процедур

You are about to visit a Philips global content page
ContinueУсовершенствованная реконструкция с компенсацией движения для визуализации сердца без артефактов движения с улучшенным анализом коронарных сосудов

You are about to visit a Philips global content page
ContinueНажмите на значок “i”, чтобы узнать подробнее о функциях CT Smart Workflow
Узнайте, как функция Smart Workflow будет помогать вашей команде специалистов благодаря интеллектуальному рабочему процессу на каждом этапе

Камера с поддержкой ИИ позволяет сократить время позиционирования на 23% и повысить согласованность результатов, получаемых различными пользователями, на 70%2

You are about to visit a Philips global content page
ContinueИИ обеспечивает преимущества, которые позволяют получать изображения с низкой дозой облучения и более высокой диагностической достоверностью

You are about to visit a Philips global content page
ContinueАвтоматическое отслеживание иглы для сокращения времени выполнения интервенционных процедур

You are about to visit a Philips global content page
ContinueРеконструкция изображений на основе ИИ означает, что реконструкция всех контрольных протоколов может занимать < 1 минуты

You are about to visit a Philips global content page
ContinueУсовершенствованная реконструкция с компенсацией движения для визуализации сердца без артефактов движения с улучшенным анализом коронарных сосудов

You are about to visit a Philips global content page
ContinueНажмите на значок "i", чтобы узнать больше о каждом усовершенствовании функции Smart Workflow
Реконструкция Precise Image с помощью нейросети глубокого обучения позволяет позволяет добиться высокого качества изображений при сохранении их естественного вида и значительном снижении лучевой нагрузки.
Перемещайте ползунок, чтобы сравнить обычное изображение с результатами реконструкции Precise Image.
1 На основе оценки, проведенной пятью клиническими экспертами, сравнивающей ручное позиционирование и автоматизированное позиционирование на базе ИИ в 40 клинических случаях с использованием фантома человеческого тела
2 Chacko C. Precise Intervention Clinical Review Report for Loong. Philips Doc ID: D000874955. 2021.
3. Внутренние исследования компании Philips о влиянии снижения артефактов от движения коронарных артерий на эффективное временное разрешение. Шестикратное улучшение временного разрешения 29 мсек было достигнуто с использованием КТ со скоростью вращения рентгеновской трубки 0,35 сек. При использовании КТ со скоростью вращения 0,27 сек было зафиксировано одиннадцатикратное улучшение временного разрешения 12,3 мсек
4. Представленные результаты могут варьироваться в зависимости от медицинского учреждения и выполняемых исследований, а также индивидуальных антропометрических данных пациента
Представленная здесь информация не предназначена для пользователей из США.
You are about to visit a Philips global content page
Continue