
Наблюдаемая у пациентов с сотрясением головного мозга клиническая симптоматика может быть следствием изменений концентрации основных метаболитов и нейромедиаторов. Особенную роль в этом случае играет баланс возбуждения- торможения, который обеспечивают глутамат и ГАМК.''
Ахадов Толибджон Абдуллаевич
заслуженный врач Российской Федерации, профессор, доктор медицинских наук, заведующий отделением лучевой диагностики НИИ Неотложной Детской Хирургии и Травматологии
Легкая черепно-мозговая травма, или сотрясение мозга, является очень распространенным диагнозом, в особенности в педиатрической травматологической практике. В 15-20% случаев сотрясение мозга сопровождается отложенными негативными последствиями, которые могут влиять на развитие и уровень жизни детей.
Сотрясение мозга зачастую приводит к проблемам с памятью и концентрацией внимания, повышенной раздражительности, головным болям и головокружениям, проблемам со сном и повышенной утомляемости. Сложность при изучении легкой травмы и ее последствий возникает по причине того, что никаких анатомических аномалий при магнитно-резонансной томографии (МРТ), компьютерной томографии (КТ) и других методах визуализации не наблюдается. Таким образом, магнитно-резонансная спектроскопия (МРС) является единственным доступным методом, позволяющим in vivo измерить биохимические изменения, которые могут приводить к наблюдаемой клинической картине. Подробнее о методе МРС вы можете узнать в нашей статье:
Магнитно-резонансная спектроскопия | Philips Healthcare. Методы протонной 1H МРС позволяют определять концентрации важнейших метаболитов и нейромедиаторов в мозге человека. Особенно важными маркерами при сотрясении мозга являются глутамат и гамма-аминомасляная кислота (ГАМК), соответственно главный возбуждающий и тормозной нейромедиаторы. Для определения концентраций ГАМК используется МРС последовательность MEGA-PRESS, которой посвящена наша статья MEGA-PRESS | Philips Здравоохранение.
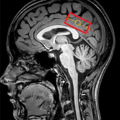
Сотрясение головного мозга у детей успешно изучают сотрудники НИИ Неотложной детской хирургии и травматологии в сотрудничестве с командой Philips Clinical Science. Ранее полученные результаты (Исследования последствий черепно-мозговых травм у детей | Philips ; Метаболические изменения белого вещества мозга | Philips ; Микроструктурные нарушения в таламусе в остром периоде сотрясения головного мозга | Philips) дополнились в 2022 году новым открытием [1]. Последовательность MEGA-PRESS и методы постобработки спектров позволили обнаружить увеличение концентрации ГАМК при неизменной концентрации глутама в задней поясной коре мозга у детей с сотрясением (рис.1).

Наиболее вероятно, что обнаруженный эффект связан с нарушением экспрессии субъединиц ГАМК-а рецепторов и связывании ГАМК с ними. Поскольку ГАМК является основным тормозным нейромедиатором, а глутамат – основным возбуждающим, при этом концентрация глутамата не изменяется при росте несвязанных с рецепторами молекул ГАМК, то подобный эффект говорит о смещении баланса возбуждения-торможения в сторону возбуждения и активации глутаматной активности в данной области. Таким образом, наряду с работами, в которых показано увеличение концентраций ГАМК в передней поясной коре [2], а также
уменьшение количества и активности ГАМК рецепторов в зубчатой извилине гиппокампа [3], результаты этого исследования могут говорить о том, что найденный эффект не является локальным, а охватывает несколько важнейших областей мозга. Подобные изменения могут приводить к гиперактивности глутамат-эргической системы и активации апоптотических механизмов вследствие глутаматной эксайтотоксичности. Следствием подобных изменений также является дисбаланс между симпатической и парасимпатической системами с преобладанием симпатической активности, что приводит к спазму сосудов и служит причиной дальнейших осложнений.

Andrei Manzhurtsev, Petr Bulanov, Petr Menshchikov, et al. Macromolecular-suppressed GABA-edited MR spectroscopy in the posterior cingulate cortex of patients with acute mild traumatic brain injury, J. Magn. Reson. Imaging. (2022). https://doi.org/10.1002/jmri.28410.
Полный набор методов протонной спектроскопии с использованием одного воксела, нескольких вокселов и нескольких срезов, полностью интегрированный в пользовательский интерфейс сбора данных. Сочетание спектроскопической визуализации в турбо-режиме, технологии dS SENSE и анизотропной матрицы может помочь сократить время сканирования. Включает в себя пакет SpectroView Analysis для визуализации и обработки всех спектроскопических данных.
Благодаря этой катушке томограф 3,0 Тл с технологией dStream сможет выйти на новый уровень функциональных исследований головного мозга. Эта катушка обеспечивает объемную визуализацию коры головного мозга с высоким разрешением, при этом сохраняя отличное отношение сигнал/шум. Отведения для ЭЭГ можно вывести через отверстие в верхней части катушки.
Связанные статьи

MEGA MR Clinical
Регистрационное удостоверение № ФСЗ 2011/10276 Томограф магнитно-резонансный Ingenia)
[1] Andrei Manzhurtsev, Petr Bulanov, Petr Menshchikov, et al. Macromolecular-suppressed GABA-edited MR spectroscopy in the posterior cingulate cortex of patients with acute mild traumatic brain injury, J. Magn. Reson. Imaging. (2022). https://doi.org/10.1002/jmri.28410. [3] P.O. Stovicek, C. Friedmann, D. Marinescu, et al. Mild tbi in the elderly – risk factor for rapid cognitive impairment in alzheimer’s disease, Rom. J. Morphol. Embryol. 61 (2020) 61–72. https://doi.org/10.47162/RJME.61.1.07.
[2] П.Е. Меньщиков, Н.А. Cеменова et al. Рост церебральных концентраций γ-аминомаслянной кислоты у детей с легкой черепно-мозговой травмой в остром периоде по данным протонной магнитно-резонансной спектроскопии, БИОФИЗИКА, 2017, Том 62, Вып. 6, c. 1221–1231. (n.d.).
You are about to visit a Philips global content page
Continue