Fusion and Navigation

Высокоэффективное объединение изображений и навигация

Найти похожие продукты

Philips Fusion and Navigation с полностью интегрированными средствами объединения текущего ультразвукового изображения с изображениями КТ, МРТ и ПЭТ позволяют повысить надежность диагностики даже в сложных для диагностирования случаях.

Особенности
Новый уровень удобства с автоматическим совмещением
Новый уровень удобства с автоматическим совмещением

Новый уровень удобства с автоматическим совмещением

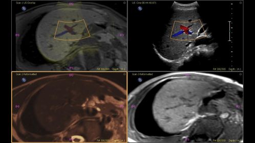
В основе устройства лежит наша самая мощная архитектура, которая затрагивает все аспекты получения и обработки ультразвуковых сигналов, позволяя совершенствовать методы ультразвуковых исследований: автоматическая регистрация Auto Registration позволяет Fusion and Navigation обеспечивать успешное объединение объемов по данным КТ или МРТ с данным УЗИ менее чем за одну минуту для эффективного определения характеристик поражений. Регистрация изображений, полученных двумя методами визуализации, обычными способами может быть трудоемкой и технически сложной, часто занимая до 10 минут для достижения успешного объединения. Автоматическое объединение менее чем за одну минуту дает больше времени, чтобы сосредоточиться на предстоящей процедуре, и сокращает время на обеспечение точного объединения.

Новый уровень удобства с автоматическим совмещением

Новый уровень удобства с автоматическим совмещением
В основе устройства лежит наша самая мощная архитектура, которая затрагивает все аспекты получения и обработки ультразвуковых сигналов, позволяя совершенствовать методы ультразвуковых исследований: автоматическая регистрация Auto Registration позволяет Fusion and Navigation обеспечивать успешное объединение объемов по данным КТ или МРТ с данным УЗИ менее чем за одну минуту для эффективного определения характеристик поражений. Регистрация изображений, полученных двумя методами визуализации, обычными способами может быть трудоемкой и технически сложной, часто занимая до 10 минут для достижения успешного объединения. Автоматическое объединение менее чем за одну минуту дает больше времени, чтобы сосредоточиться на предстоящей процедуре, и сокращает время на обеспечение точного объединения.

Новый уровень удобства с автоматическим совмещением

В основе устройства лежит наша самая мощная архитектура, которая затрагивает все аспекты получения и обработки ультразвуковых сигналов, позволяя совершенствовать методы ультразвуковых исследований: автоматическая регистрация Auto Registration позволяет Fusion and Navigation обеспечивать успешное объединение объемов по данным КТ или МРТ с данным УЗИ менее чем за одну минуту для эффективного определения характеристик поражений. Регистрация изображений, полученных двумя методами визуализации, обычными способами может быть трудоемкой и технически сложной, часто занимая до 10 минут для достижения успешного объединения. Автоматическое объединение менее чем за одну минуту дает больше времени, чтобы сосредоточиться на предстоящей процедуре, и сокращает время на обеспечение точного объединения.
Click here for more information
Новый уровень удобства с автоматическим совмещением
Новый уровень удобства с автоматическим совмещением

Новый уровень удобства с автоматическим совмещением

В основе устройства лежит наша самая мощная архитектура, которая затрагивает все аспекты получения и обработки ультразвуковых сигналов, позволяя совершенствовать методы ультразвуковых исследований: автоматическая регистрация Auto Registration позволяет Fusion and Navigation обеспечивать успешное объединение объемов по данным КТ или МРТ с данным УЗИ менее чем за одну минуту для эффективного определения характеристик поражений. Регистрация изображений, полученных двумя методами визуализации, обычными способами может быть трудоемкой и технически сложной, часто занимая до 10 минут для достижения успешного объединения. Автоматическое объединение менее чем за одну минуту дает больше времени, чтобы сосредоточиться на предстоящей процедуре, и сокращает время на обеспечение точного объединения.
Нарисуйте 3D-контур, чтобы визуализировать цель
Нарисуйте 3D-контур, чтобы визуализировать цель

Нарисуйте 3D-контур, чтобы визуализировать цель

Tumor contour — это полуавтоматический инструмент, который помогает очертить 3D-контур вокруг интересующей структуры. Врач может легко планировать и нацелиться на поражение во время интервенционной процедуры, а также улучшить навигацию во время вмешательства даже в сложных случаях, когда очаг не визуализируется ультразвуком. Поражение может быть визуализировано в 3D или 2D с помощью дополнительного метода и наложено на УЗИ- или КТ-изображение в реальном времени, что помогает визуализировать местоположение поражения относительно окружающих жизненно важных структур.

Нарисуйте 3D-контур, чтобы визуализировать цель

Нарисуйте 3D-контур, чтобы визуализировать цель
Tumor contour — это полуавтоматический инструмент, который помогает очертить 3D-контур вокруг интересующей структуры. Врач может легко планировать и нацелиться на поражение во время интервенционной процедуры, а также улучшить навигацию во время вмешательства даже в сложных случаях, когда очаг не визуализируется ультразвуком. Поражение может быть визуализировано в 3D или 2D с помощью дополнительного метода и наложено на УЗИ- или КТ-изображение в реальном времени, что помогает визуализировать местоположение поражения относительно окружающих жизненно важных структур.

Нарисуйте 3D-контур, чтобы визуализировать цель

Tumor contour — это полуавтоматический инструмент, который помогает очертить 3D-контур вокруг интересующей структуры. Врач может легко планировать и нацелиться на поражение во время интервенционной процедуры, а также улучшить навигацию во время вмешательства даже в сложных случаях, когда очаг не визуализируется ультразвуком. Поражение может быть визуализировано в 3D или 2D с помощью дополнительного метода и наложено на УЗИ- или КТ-изображение в реальном времени, что помогает визуализировать местоположение поражения относительно окружающих жизненно важных структур.
Click here for more information
Нарисуйте 3D-контур, чтобы визуализировать цель
Нарисуйте 3D-контур, чтобы визуализировать цель

Нарисуйте 3D-контур, чтобы визуализировать цель

Tumor contour — это полуавтоматический инструмент, который помогает очертить 3D-контур вокруг интересующей структуры. Врач может легко планировать и нацелиться на поражение во время интервенционной процедуры, а также улучшить навигацию во время вмешательства даже в сложных случаях, когда очаг не визуализируется ультразвуком. Поражение может быть визуализировано в 3D или 2D с помощью дополнительного метода и наложено на УЗИ- или КТ-изображение в реальном времени, что помогает визуализировать местоположение поражения относительно окружающих жизненно важных структур.
Повысьте свою производительность при выполнении сложных инвазивных процедур
Улучшенная навигация иглы

Улучшенная навигация иглы

Благодаря многоразовому адаптивному устройству для отслеживания иглы и широкому ассортименту коаксиальных инструментов с возможностью отслеживания кончика иглы функция объединения изображений и навигации предлагает широкий спектр совместимости с устройствами для биопсии и абляции в зависимости от степени сложности процедуры. Навигация иглы — это повышающий производительность инструмент при осуществлении сложных инвазивных процедур, таких как биопсия мелких сложных для визуализации пораженных участков или сложнодоступной абляции в непосредственной близости от жизненно важных структур. Проводите процедуры за меньшее время и с меньшим количеством подтверждающих исследований.

Улучшенная навигация иглы

Улучшенная навигация иглы
Благодаря многоразовому адаптивному устройству для отслеживания иглы и широкому ассортименту коаксиальных инструментов с возможностью отслеживания кончика иглы функция объединения изображений и навигации предлагает широкий спектр совместимости с устройствами для биопсии и абляции в зависимости от степени сложности процедуры. Навигация иглы — это повышающий производительность инструмент при осуществлении сложных инвазивных процедур, таких как биопсия мелких сложных для визуализации пораженных участков или сложнодоступной абляции в непосредственной близости от жизненно важных структур. Проводите процедуры за меньшее время и с меньшим количеством подтверждающих исследований.

Улучшенная навигация иглы

Благодаря многоразовому адаптивному устройству для отслеживания иглы и широкому ассортименту коаксиальных инструментов с возможностью отслеживания кончика иглы функция объединения изображений и навигации предлагает широкий спектр совместимости с устройствами для биопсии и абляции в зависимости от степени сложности процедуры. Навигация иглы — это повышающий производительность инструмент при осуществлении сложных инвазивных процедур, таких как биопсия мелких сложных для визуализации пораженных участков или сложнодоступной абляции в непосредственной близости от жизненно важных структур. Проводите процедуры за меньшее время и с меньшим количеством подтверждающих исследований.
Click here for more information
Повысьте свою производительность при выполнении сложных инвазивных процедур
Улучшенная навигация иглы

Улучшенная навигация иглы

Благодаря многоразовому адаптивному устройству для отслеживания иглы и широкому ассортименту коаксиальных инструментов с возможностью отслеживания кончика иглы функция объединения изображений и навигации предлагает широкий спектр совместимости с устройствами для биопсии и абляции в зависимости от степени сложности процедуры. Навигация иглы — это повышающий производительность инструмент при осуществлении сложных инвазивных процедур, таких как биопсия мелких сложных для визуализации пораженных участков или сложнодоступной абляции в непосредственной близости от жизненно важных структур. Проводите процедуры за меньшее время и с меньшим количеством подтверждающих исследований.
Полностью интегрированное мультимодальное наложение изображений
Полностью интегрированное мультимодальное наложение изображений

Полностью интегрированное мультимодальное наложение изображений

Fusion and Navigation помогает сократить затраты и уменьшить продолжительность процедуры, обеспечивая мультимодальное объединение изображений в различных клинических сценариях. Быстрое и эффективное объединение КТ/МРТ/ПЭТ с УЗИ в реальном времени позволит вам принимать уверенные решения даже в сложных случаях. Fusion and Navigation также может использоваться вместе с контрастной эхографией. Комбинируя методы визуализации непосредственно в ультразвуковой системе, вы получаете доступ к передовым инструментам визуализации, позволяющим быстро принимать решения. Используйте объединение изображений при исследовании брюшной полости, предстательной железы, молочной железы или малых органов, сокращая время и зависимость от других методов визуализации.

Полностью интегрированное мультимодальное наложение изображений

Полностью интегрированное мультимодальное наложение изображений
Fusion and Navigation помогает сократить затраты и уменьшить продолжительность процедуры, обеспечивая мультимодальное объединение изображений в различных клинических сценариях. Быстрое и эффективное объединение КТ/МРТ/ПЭТ с УЗИ в реальном времени позволит вам принимать уверенные решения даже в сложных случаях. Fusion and Navigation также может использоваться вместе с контрастной эхографией. Комбинируя методы визуализации непосредственно в ультразвуковой системе, вы получаете доступ к передовым инструментам визуализации, позволяющим быстро принимать решения. Используйте объединение изображений при исследовании брюшной полости, предстательной железы, молочной железы или малых органов, сокращая время и зависимость от других методов визуализации.

Полностью интегрированное мультимодальное наложение изображений

Fusion and Navigation помогает сократить затраты и уменьшить продолжительность процедуры, обеспечивая мультимодальное объединение изображений в различных клинических сценариях. Быстрое и эффективное объединение КТ/МРТ/ПЭТ с УЗИ в реальном времени позволит вам принимать уверенные решения даже в сложных случаях. Fusion and Navigation также может использоваться вместе с контрастной эхографией. Комбинируя методы визуализации непосредственно в ультразвуковой системе, вы получаете доступ к передовым инструментам визуализации, позволяющим быстро принимать решения. Используйте объединение изображений при исследовании брюшной полости, предстательной железы, молочной железы или малых органов, сокращая время и зависимость от других методов визуализации.
Click here for more information
Полностью интегрированное мультимодальное наложение изображений
Полностью интегрированное мультимодальное наложение изображений

Полностью интегрированное мультимодальное наложение изображений

Fusion and Navigation помогает сократить затраты и уменьшить продолжительность процедуры, обеспечивая мультимодальное объединение изображений в различных клинических сценариях. Быстрое и эффективное объединение КТ/МРТ/ПЭТ с УЗИ в реальном времени позволит вам принимать уверенные решения даже в сложных случаях. Fusion and Navigation также может использоваться вместе с контрастной эхографией. Комбинируя методы визуализации непосредственно в ультразвуковой системе, вы получаете доступ к передовым инструментам визуализации, позволяющим быстро принимать решения. Используйте объединение изображений при исследовании брюшной полости, предстательной железы, молочной железы или малых органов, сокращая время и зависимость от других методов визуализации.
  • Новый уровень удобства с автоматическим совмещением
  • Нарисуйте 3D-контур, чтобы визуализировать цель
  • Повысьте свою производительность при выполнении сложных инвазивных процедур
  • Полностью интегрированное мультимодальное наложение изображений
Посмотреть все особенности
Новый уровень удобства с автоматическим совмещением
Новый уровень удобства с автоматическим совмещением

Новый уровень удобства с автоматическим совмещением

В основе устройства лежит наша самая мощная архитектура, которая затрагивает все аспекты получения и обработки ультразвуковых сигналов, позволяя совершенствовать методы ультразвуковых исследований: автоматическая регистрация Auto Registration позволяет Fusion and Navigation обеспечивать успешное объединение объемов по данным КТ или МРТ с данным УЗИ менее чем за одну минуту для эффективного определения характеристик поражений. Регистрация изображений, полученных двумя методами визуализации, обычными способами может быть трудоемкой и технически сложной, часто занимая до 10 минут для достижения успешного объединения. Автоматическое объединение менее чем за одну минуту дает больше времени, чтобы сосредоточиться на предстоящей процедуре, и сокращает время на обеспечение точного объединения.

Новый уровень удобства с автоматическим совмещением

Новый уровень удобства с автоматическим совмещением
В основе устройства лежит наша самая мощная архитектура, которая затрагивает все аспекты получения и обработки ультразвуковых сигналов, позволяя совершенствовать методы ультразвуковых исследований: автоматическая регистрация Auto Registration позволяет Fusion and Navigation обеспечивать успешное объединение объемов по данным КТ или МРТ с данным УЗИ менее чем за одну минуту для эффективного определения характеристик поражений. Регистрация изображений, полученных двумя методами визуализации, обычными способами может быть трудоемкой и технически сложной, часто занимая до 10 минут для достижения успешного объединения. Автоматическое объединение менее чем за одну минуту дает больше времени, чтобы сосредоточиться на предстоящей процедуре, и сокращает время на обеспечение точного объединения.

Новый уровень удобства с автоматическим совмещением

В основе устройства лежит наша самая мощная архитектура, которая затрагивает все аспекты получения и обработки ультразвуковых сигналов, позволяя совершенствовать методы ультразвуковых исследований: автоматическая регистрация Auto Registration позволяет Fusion and Navigation обеспечивать успешное объединение объемов по данным КТ или МРТ с данным УЗИ менее чем за одну минуту для эффективного определения характеристик поражений. Регистрация изображений, полученных двумя методами визуализации, обычными способами может быть трудоемкой и технически сложной, часто занимая до 10 минут для достижения успешного объединения. Автоматическое объединение менее чем за одну минуту дает больше времени, чтобы сосредоточиться на предстоящей процедуре, и сокращает время на обеспечение точного объединения.
Click here for more information
Новый уровень удобства с автоматическим совмещением
Новый уровень удобства с автоматическим совмещением

Новый уровень удобства с автоматическим совмещением

В основе устройства лежит наша самая мощная архитектура, которая затрагивает все аспекты получения и обработки ультразвуковых сигналов, позволяя совершенствовать методы ультразвуковых исследований: автоматическая регистрация Auto Registration позволяет Fusion and Navigation обеспечивать успешное объединение объемов по данным КТ или МРТ с данным УЗИ менее чем за одну минуту для эффективного определения характеристик поражений. Регистрация изображений, полученных двумя методами визуализации, обычными способами может быть трудоемкой и технически сложной, часто занимая до 10 минут для достижения успешного объединения. Автоматическое объединение менее чем за одну минуту дает больше времени, чтобы сосредоточиться на предстоящей процедуре, и сокращает время на обеспечение точного объединения.
Нарисуйте 3D-контур, чтобы визуализировать цель
Нарисуйте 3D-контур, чтобы визуализировать цель

Нарисуйте 3D-контур, чтобы визуализировать цель

Tumor contour — это полуавтоматический инструмент, который помогает очертить 3D-контур вокруг интересующей структуры. Врач может легко планировать и нацелиться на поражение во время интервенционной процедуры, а также улучшить навигацию во время вмешательства даже в сложных случаях, когда очаг не визуализируется ультразвуком. Поражение может быть визуализировано в 3D или 2D с помощью дополнительного метода и наложено на УЗИ- или КТ-изображение в реальном времени, что помогает визуализировать местоположение поражения относительно окружающих жизненно важных структур.

Нарисуйте 3D-контур, чтобы визуализировать цель

Нарисуйте 3D-контур, чтобы визуализировать цель
Tumor contour — это полуавтоматический инструмент, который помогает очертить 3D-контур вокруг интересующей структуры. Врач может легко планировать и нацелиться на поражение во время интервенционной процедуры, а также улучшить навигацию во время вмешательства даже в сложных случаях, когда очаг не визуализируется ультразвуком. Поражение может быть визуализировано в 3D или 2D с помощью дополнительного метода и наложено на УЗИ- или КТ-изображение в реальном времени, что помогает визуализировать местоположение поражения относительно окружающих жизненно важных структур.

Нарисуйте 3D-контур, чтобы визуализировать цель

Tumor contour — это полуавтоматический инструмент, который помогает очертить 3D-контур вокруг интересующей структуры. Врач может легко планировать и нацелиться на поражение во время интервенционной процедуры, а также улучшить навигацию во время вмешательства даже в сложных случаях, когда очаг не визуализируется ультразвуком. Поражение может быть визуализировано в 3D или 2D с помощью дополнительного метода и наложено на УЗИ- или КТ-изображение в реальном времени, что помогает визуализировать местоположение поражения относительно окружающих жизненно важных структур.
Click here for more information
Нарисуйте 3D-контур, чтобы визуализировать цель
Нарисуйте 3D-контур, чтобы визуализировать цель

Нарисуйте 3D-контур, чтобы визуализировать цель

Tumor contour — это полуавтоматический инструмент, который помогает очертить 3D-контур вокруг интересующей структуры. Врач может легко планировать и нацелиться на поражение во время интервенционной процедуры, а также улучшить навигацию во время вмешательства даже в сложных случаях, когда очаг не визуализируется ультразвуком. Поражение может быть визуализировано в 3D или 2D с помощью дополнительного метода и наложено на УЗИ- или КТ-изображение в реальном времени, что помогает визуализировать местоположение поражения относительно окружающих жизненно важных структур.
Повысьте свою производительность при выполнении сложных инвазивных процедур
Улучшенная навигация иглы

Улучшенная навигация иглы

Благодаря многоразовому адаптивному устройству для отслеживания иглы и широкому ассортименту коаксиальных инструментов с возможностью отслеживания кончика иглы функция объединения изображений и навигации предлагает широкий спектр совместимости с устройствами для биопсии и абляции в зависимости от степени сложности процедуры. Навигация иглы — это повышающий производительность инструмент при осуществлении сложных инвазивных процедур, таких как биопсия мелких сложных для визуализации пораженных участков или сложнодоступной абляции в непосредственной близости от жизненно важных структур. Проводите процедуры за меньшее время и с меньшим количеством подтверждающих исследований.

Улучшенная навигация иглы

Улучшенная навигация иглы
Благодаря многоразовому адаптивному устройству для отслеживания иглы и широкому ассортименту коаксиальных инструментов с возможностью отслеживания кончика иглы функция объединения изображений и навигации предлагает широкий спектр совместимости с устройствами для биопсии и абляции в зависимости от степени сложности процедуры. Навигация иглы — это повышающий производительность инструмент при осуществлении сложных инвазивных процедур, таких как биопсия мелких сложных для визуализации пораженных участков или сложнодоступной абляции в непосредственной близости от жизненно важных структур. Проводите процедуры за меньшее время и с меньшим количеством подтверждающих исследований.

Улучшенная навигация иглы

Благодаря многоразовому адаптивному устройству для отслеживания иглы и широкому ассортименту коаксиальных инструментов с возможностью отслеживания кончика иглы функция объединения изображений и навигации предлагает широкий спектр совместимости с устройствами для биопсии и абляции в зависимости от степени сложности процедуры. Навигация иглы — это повышающий производительность инструмент при осуществлении сложных инвазивных процедур, таких как биопсия мелких сложных для визуализации пораженных участков или сложнодоступной абляции в непосредственной близости от жизненно важных структур. Проводите процедуры за меньшее время и с меньшим количеством подтверждающих исследований.
Click here for more information
Повысьте свою производительность при выполнении сложных инвазивных процедур
Улучшенная навигация иглы

Улучшенная навигация иглы

Благодаря многоразовому адаптивному устройству для отслеживания иглы и широкому ассортименту коаксиальных инструментов с возможностью отслеживания кончика иглы функция объединения изображений и навигации предлагает широкий спектр совместимости с устройствами для биопсии и абляции в зависимости от степени сложности процедуры. Навигация иглы — это повышающий производительность инструмент при осуществлении сложных инвазивных процедур, таких как биопсия мелких сложных для визуализации пораженных участков или сложнодоступной абляции в непосредственной близости от жизненно важных структур. Проводите процедуры за меньшее время и с меньшим количеством подтверждающих исследований.
Полностью интегрированное мультимодальное наложение изображений
Полностью интегрированное мультимодальное наложение изображений

Полностью интегрированное мультимодальное наложение изображений

Fusion and Navigation помогает сократить затраты и уменьшить продолжительность процедуры, обеспечивая мультимодальное объединение изображений в различных клинических сценариях. Быстрое и эффективное объединение КТ/МРТ/ПЭТ с УЗИ в реальном времени позволит вам принимать уверенные решения даже в сложных случаях. Fusion and Navigation также может использоваться вместе с контрастной эхографией. Комбинируя методы визуализации непосредственно в ультразвуковой системе, вы получаете доступ к передовым инструментам визуализации, позволяющим быстро принимать решения. Используйте объединение изображений при исследовании брюшной полости, предстательной железы, молочной железы или малых органов, сокращая время и зависимость от других методов визуализации.

Полностью интегрированное мультимодальное наложение изображений

Полностью интегрированное мультимодальное наложение изображений
Fusion and Navigation помогает сократить затраты и уменьшить продолжительность процедуры, обеспечивая мультимодальное объединение изображений в различных клинических сценариях. Быстрое и эффективное объединение КТ/МРТ/ПЭТ с УЗИ в реальном времени позволит вам принимать уверенные решения даже в сложных случаях. Fusion and Navigation также может использоваться вместе с контрастной эхографией. Комбинируя методы визуализации непосредственно в ультразвуковой системе, вы получаете доступ к передовым инструментам визуализации, позволяющим быстро принимать решения. Используйте объединение изображений при исследовании брюшной полости, предстательной железы, молочной железы или малых органов, сокращая время и зависимость от других методов визуализации.

Полностью интегрированное мультимодальное наложение изображений

Fusion and Navigation помогает сократить затраты и уменьшить продолжительность процедуры, обеспечивая мультимодальное объединение изображений в различных клинических сценариях. Быстрое и эффективное объединение КТ/МРТ/ПЭТ с УЗИ в реальном времени позволит вам принимать уверенные решения даже в сложных случаях. Fusion and Navigation также может использоваться вместе с контрастной эхографией. Комбинируя методы визуализации непосредственно в ультразвуковой системе, вы получаете доступ к передовым инструментам визуализации, позволяющим быстро принимать решения. Используйте объединение изображений при исследовании брюшной полости, предстательной железы, молочной железы или малых органов, сокращая время и зависимость от других методов визуализации.
Click here for more information
Полностью интегрированное мультимодальное наложение изображений
Полностью интегрированное мультимодальное наложение изображений

Полностью интегрированное мультимодальное наложение изображений

Fusion and Navigation помогает сократить затраты и уменьшить продолжительность процедуры, обеспечивая мультимодальное объединение изображений в различных клинических сценариях. Быстрое и эффективное объединение КТ/МРТ/ПЭТ с УЗИ в реальном времени позволит вам принимать уверенные решения даже в сложных случаях. Fusion and Navigation также может использоваться вместе с контрастной эхографией. Комбинируя методы визуализации непосредственно в ультразвуковой системе, вы получаете доступ к передовым инструментам визуализации, позволяющим быстро принимать решения. Используйте объединение изображений при исследовании брюшной полости, предстательной железы, молочной железы или малых органов, сокращая время и зависимость от других методов визуализации.
  • Обратите внимание, что список оборудования доступного для приобретения в вашей стране может отличаться от указанного на сайте.
  • Регистрационное удостоверение № РЗН 2016/4936 Система объединения изображений и оперативной навигации PercuNav для ультразвуковых систем серии EPIQ, с принадлежностями
  • Регистрационное удостоверение № РЗН 2014/2234 Система ультразвуковая диагностическая EPIQ с принадлежностями

You are about to visit a Philips global content page

Continue

You are about to visit a Philips global content page

Continue

Наш сайт лучше всего просматривать с помощью последних версий Microsoft Edge, Google Chrome или Firefox.